门牙掉了好尴尬!种植牙还是镶牙?听听医生怎么说


前几天,不小心摔了一跤,门牙磕掉了……一张嘴,缺了颗门牙,不仅漏风,还特别影响美观,真是郁闷坏了!于是,赶紧跑到医院,问医生该怎么办。医生给出了两套方案:种植牙或镶牙。不过,两者有啥区别?又该怎么选呢?相信不少朋友都遇到过类似的困惑,今天就来和大家聊聊这个话题。
在口腔医学中,“镶牙”主要指活动假牙和固定假牙(即烤瓷桥),而种植牙则是一种独立的修复方式。由于门牙位置特殊,对美观和功能要求都较高,所以选择合适的修复方式尤为重要。
种植牙

种植牙是指在缺牙区的牙槽骨内植入纯钛金属种植体(即人工牙根),待种植体与牙槽骨结合后,再在上面安装牙冠。
镶牙(固定假牙/烤瓷桥)

镶牙(固定假牙)则需要将缺牙位置相邻的两颗健康牙齿磨小,作为“桥墩”,然后安装一个三颗或多颗连在一起的牙冠(即桥体),整体粘固在磨小的牙齿上。

由于活动假牙美观性和舒适度较差,一般不建议用于门牙修复,因此今天我们重点对比种植牙和固定假牙(烤瓷桥)。
门牙修复大PK,
谁更适合“门面担当”?

我们从几个关键维度来对比一下:
01美观性
种植牙:★★★★★ 独立存在,形态、颜色通透性都可与真牙媲美,且能防止牙槽骨萎缩,长期维持面部丰满度。美观效果最佳。
固定桥:★★★★☆ 美观度也不错,但由于是三颗连冠,牙缝清洁是个挑战,可能影响牙龈健康,长期看牙龈可能出现萎缩或发黑,影响美观。
02对邻牙的影响
种植牙:★★★★★ 最大优势!完全独立,不损伤任何邻牙,保护了健康的牙齿组织。
固定桥:★★☆☆☆ 最大弊端!必须磨损两颗健康的邻牙,且这种磨损是不可逆的。万一将来“桥墩”牙齿出了问题,整个桥都可能报废。
03舒适度与咀嚼效率
种植牙:★★★★★ 扎根在牙槽骨里,坚固稳定,咀嚼效率和感觉最接近真牙,没有异物感。
固定桥:★★★☆☆ 依靠邻牙支撑,咀嚼力会传导到邻牙上。初期可能有异物感,需要时间适应。

04使用寿命
种植牙:★★★★★ 维护得当,使用几十年甚至终身都很常见。是目前最持久的修复方式。
固定桥:★★★☆☆ 通常使用8-15年左右。使用寿命受“桥墩”健康度、牙周情况等影响。
05治疗周期与费用
种植牙:周期较长(通常3-6个月,即刻种植可缩短),因为需要等待种植体与骨骼结合。费用较高,单颗算下来是修复方式中最贵的。
固定桥:周期短(通常2-4周),无需手术。单次费用低于种植牙,但考虑到可能需要更换,长期成本也不低。
06手术要求
种植牙:需要做一个小手术,对患者的牙槽骨条件和身体健康状况有一定要求(如无严重心脏病、糖尿病,骨量充足等)。
固定桥:无需手术,适用范围更广。
如何选择?帮你支个招!


看完对比,是不是清晰了一些?你可以根据以下情况来抉择:
01 选择种植牙的情况
缺牙区两侧牙齿健康完好;
牙槽骨条件良好,或可以通过植骨改善;
对美观要求高;
年龄适中(通常建议18岁以上)。
02 选择固定桥的情况
相邻牙齿本身就有问题,需要做冠修复;
牙槽骨严重萎缩且不愿植骨;
患有某些不适合种植的全身性疾病;
预算有限。
03 特殊情况
如果是多颗门牙缺失,可能需要种植体+桥体的组合方案,比如缺失3颗门牙,可以植入2个种植体,中间连接3颗牙冠。


门牙修复的新趋势

现在门牙修复有了新的选择——即刻种植。传统种植需要拔牙后等待3个月才能植入种植体,而即刻种植是在拔牙同时就植入种植体,大大缩短了治疗时间。不过,这种技术对患者的骨骼条件和医生的技术要求更高。
维护保养小贴士

无论选择哪种方式,后期维护都很重要:
种植牙维护
正常刷牙,使用牙线、冲牙器;
定期专业检查(每年1-2次);
避免用牙开瓶盖等硬物。
固定桥维护
特别注意桥体下的清洁,使用超级牙线;
定期检查边缘是否密合;
避免咀嚼过硬食物。


以上所有分析都只是参考。门牙掉了之后,第一步是立即就医! 让专业的牙医通过口内检查、拍X光片(或CT)来评估你的具体情况:
牙槽骨的形态和骨量如何?
邻牙和牙周是否健康?
咬合关系怎么样?
医生会根据你的口腔实际情况,结合你的需求和预算,给出最专业的个性化建议。


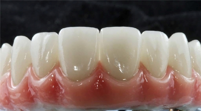
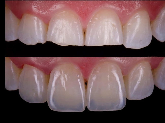
WIELAND ZENOSTAR作为一种高品质氧化锆全瓷材料,因其出色的美学效果和强度,被广泛应用于单冠和桥的修复体,以及美学修复贴面等。
美学效果
具备高达49%的通透度,使得修复体与天然牙齿的外观几乎一致,自然且美观。
微创性
仅需要0.4mm厚度的牙墙,减少了牙体自身的损失,同时达到良好的美学效果。
高强度
采用优质Tosoh锆粉,结合先进制造工艺精制而成,强度达到≥1200兆帕,使得修复体更加坚固耐用。
耐磨性
经过5年的咀嚼试验研究,修复体与天然牙的磨耗达到最小,保证了长期使用的效果。
广泛适用症
支持个性化定制,适用于全冠、桥体及种植上部修复体,满足不同患者需求,提供贴合自然的修复体。


源自德国
100%进口品质
卓越打造完美修复体
高质量ZENOSTAR系统全面满足个性化需求

标签:
